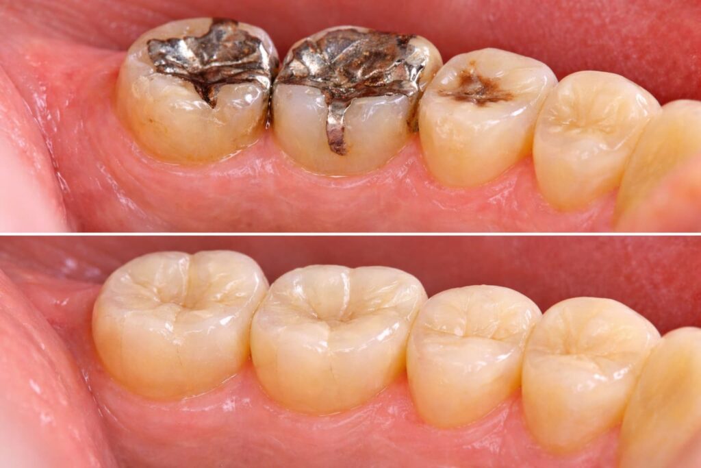
メタルフリー治療について

メタルフリー治療とは、金属を使用せずに治療や修復を行う方法です。
従来の金属製の詰め物や被せ物の代わりに、セラミックやレジン(樹脂)などの材料を用いる治療で、近年選ばれる方が増えています。
金属を使用しないことで、金属アレルギーのリスクを減らせることが期待できます。
金属アレルギーの症状には、皮膚炎や口内炎だけでなく、関節の痛みや倦怠感など全身に症状が出ることもあります。
メタルフリー治療の種類

ジルコニア ¥86,000〜
⚫︎こんな方に向いています
- 噛む力が強く、割れにくい素材が必要
- 奥歯の審美性と耐久性を両立したい
- ブリッジを自然に白くしたい
- 金属アレルギーが心配
- 長持ちしやすい素材を選びたい
ジルコニアの特徴
1. 抜群の強度と耐久性
金属に匹敵する、あるいはそれ以上の強度があり、割れたり欠けたりするリスクが非常に低いです。
歯ぎしりや食いしばりのある方、噛む力の強い奥歯にも適用できます。
2. 優れた審美性
天然歯に近い透明感と光の透過性があり、周囲の歯の色に合わせて微細な調整が可能です。
特に外側にセラミックを焼き付けているため、フルジルコニア(全てジルコニアでできたもの)よりも自然で美しい仕上がりになります。
3. 金属アレルギーの心配がない
金属を一切使用しないオールセラミックの一種であるため、金属アレルギーの心配がありません。
また、歯茎の境目が黒ずむ「メタルタトゥー」の心配もありません。
4. 汚れ(プラーク)がつきにくい
表面が滑沢(なめらか)でツルツルしているため、プラークが付着しにくく、二次的な虫歯(二次カリエス)や歯周病のリスク低減にもつながります。

オールセラミック ¥77,000〜
⚫︎こんな方に向いています
- 銀歯を白くしたい
- 前歯の色・形・隙間を整えたい
- 黄ばみが気になるがホワイトニングでは限界がある
- 長期的に美しく保てる治療を希望
- 金属アレルギーがある
オールセラミックの特徴
1. 天然歯のような自然な見た目
オールセラミックの強みは、その透明感です。
ガラスセラミックを強化した素材であるため、光を適度に透過し、天然歯のような深みのある色調とツヤを再現できます。
周囲の歯の色を自然に反映するため、被せ物や詰め物を装着しても目立ちにくく、非常に自然な見た目になります。
2. 天然歯と近い強度と硬さ
オールセラミックは、従来の一般的なものより強度が高く、エナメル質に近い適度な硬さがあります。
硬すぎないため対合歯を傷めにくく、単冠(一本の被せ物)や詰め物としては十分な強度があり、奥歯に用いられることもあります。
ただしジルコニアほどの強度はないため、噛む力が強い方やブリッジではジルコニアが推奨される場合があります。
3. 虫歯になりにくい
金属を使用しないため、金属アレルギーや歯ぐきが黒ずむ「メタルタトゥー」のリスクを抑えられます。
歯との適合精度が高く、レジンセメントでしっかり接着できることで、歯と被せ物の間にすき間ができにくくなり、二次むし歯(二次カリエス)のリスク低減も期待できます。

ノンクラスプデンチャー ¥110,000〜
ノンクラスプデンチャーとは、金属のバネ(クラスプ)を使わない部分入れ歯のことです。
特殊な樹脂(ナイロン系の弾性樹脂)でできており、装着しても金属が見えにくく、自然な見た目になりやすいのが特徴です。
一般的な部分入れ歯は金属のバネが歯に引っかかるため、笑ったときに銀色が見えることがありますが、ノンクラスプデンチャーではその心配を抑えられます。
ノンクラスプデンチャーの特徴
1. 目立ちにくい
金属のバネがないので、口を開けても入れ歯だと気づかれにくい自然な見た目です。
2. つけ心地が良い
従来の入れ歯より薄くて軽いことが多く、さらに柔らかい素材が歯ぐきにフィットするので、違和感が少なく快適に使えると言われています。
3. 残っている歯にやさしい
柔らかい樹脂が歯にピッタリと密着して支えるため、どこか1本に負担が集中しにくく、残っている健康な歯を守りやすいのが特徴です。
4. 金属アレルギーの心配が少ない
基本的に金属を一切使わないため、金属アレルギーがある人でも安心して使用できます。
\ 少しでも興味がある方はぜひご相談ください /








